複雜性肩關節病變治療新選擇 反置式人工全肩關節置換術
Reverse Total Shoulder Arthroplasty

  • By 佳里奇美 王覲文|醫療副院長

門診資訊


肩關節是人體最靈活的關節之一,活動自如的關鍵就在於肩關節與旋轉肌群的正常協調運作,一旦病變或受傷便會破壞和諧機制引起疼痛,活動困難,進而影響生活品質。
正常肩關節活動是由四條附著於肱骨頭之旋轉肌腱來協調驅動,是用來穩定肩關節的重要結構,但可能會因老年退化,引起肌腱萎縮,彈性及強度逐漸變差,也可能因外傷、過度使用反覆拉扯,而造成磨損、斷裂。當肌腱部份或全層斷裂時,就會造成肩膀疼痛、手臂上舉困難,嚴重時甚至會造成肩關節失能。
因此,當旋轉肌腱斷裂輕、中度時,可行肌腱修補或鉚釘固定修補,若肌腱已嚴重造成大範圍全層斷裂內縮失去功能時,即可考慮使用反置式人工全肩關節置換手術,將肩關節的活動改由三角肌來驅動,再經復健,即可減輕疼痛,恢復大部份肩關節外展功能。
所以當遇到退化性關節炎、類風濕性關節炎、肱骨頭缺血性壞死、老年複雜性骨折及旋轉肌腱嚴重全層破損失去功能時,即可考慮使用反置式人工全肩關節置手術。
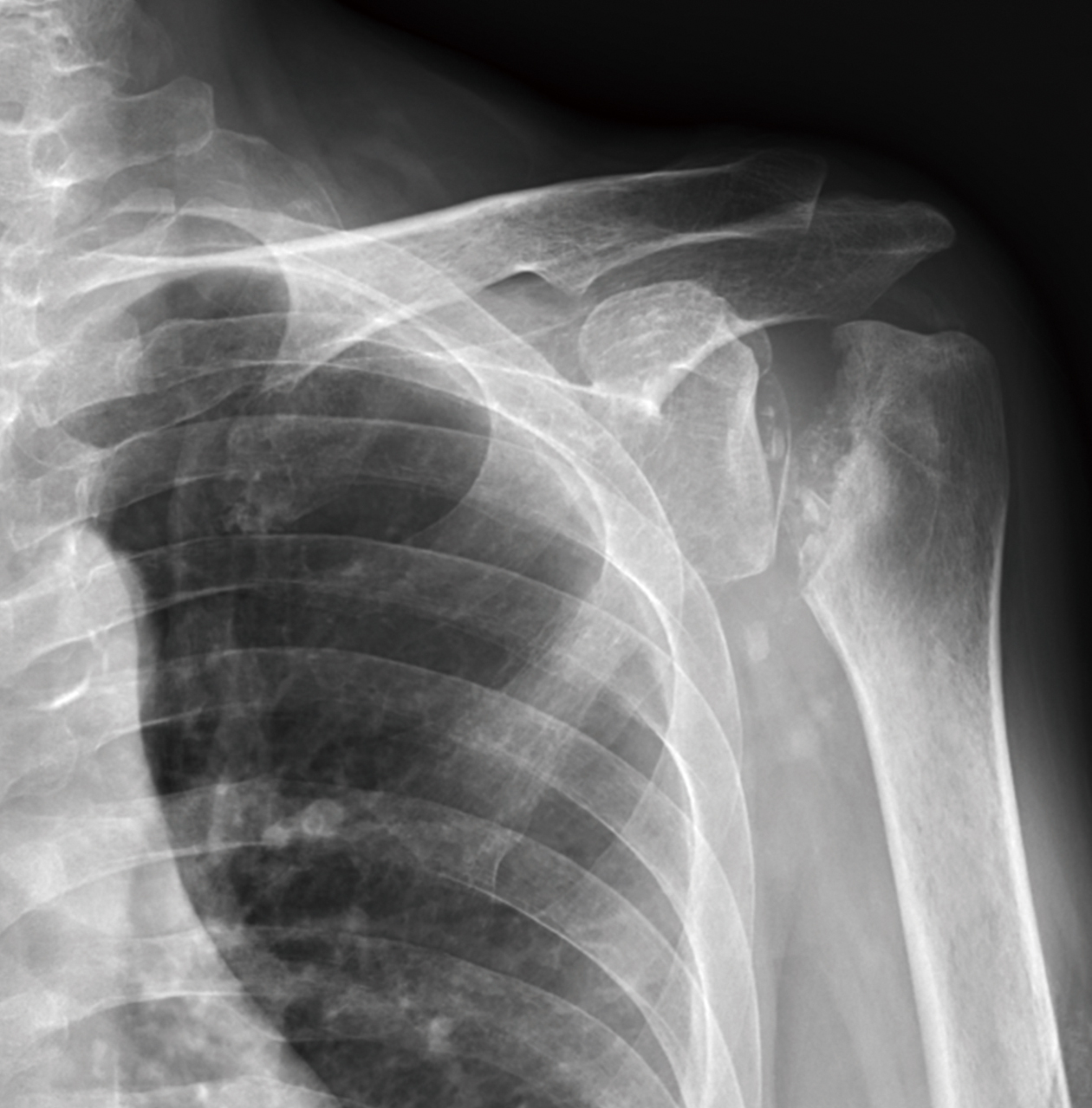
黃先生52歲,左肩疼痛多年,手無法上舉,一年來症狀加劇,經檢查發現肱骨頭缺血性壞死併肩關節炎,核磁共振發現大片全層旋轉肌破裂,接受了反置式人工全肩關節置換手術治療,並投入計劃性復健治療,目前疼痛消失,手已可上舉接近150度。
左側肱骨頭缺血性壞死續發關節炎併旋轉肌腱斷裂,經反置式人工全肩關節置換手術治療。
謝陳女士74歲,右肩關節疼痛一年以上,活動受限,手臂無力上舉,經檢查發現右肩關節炎,旋轉肌腱大片全層破裂內縮,接受反置式人工全肩關節置換術,術後疼痛緩解,活動角度可達140度以上。
右肩關節炎合併旋轉肌腱斷裂,經反置式人工全肩關節置換手術治療。
人工肩關節的發展在臨床運用上,主要源自1955年Neer創造出人工半肩關節成形術(Shoulder Hemiarthroplasty),1970年Neer又演變出人工全肩關節成形術(Total Shoulder Arthroplasty),以至於2003年美國FDA通過反置式人工肩關節(Reverse Total Shoulder Arthroplasty)使用。
反置式人工肩關節是一種高活動度,創新概念的人工肩關節,有著與傳統人工肩關節相反的特殊設計,原傳統解剖型人工肩關節是由仿肱骨頭及肩盂組合而成。而反置式人工全肩關節則與傳統人工肩關節相反構造設計,將原肩肱骨頭部做成類似肩盂的「窩狀」,而原肩盂部做成「球狀」,因反相設計調整了關節的活動中心,改用較為強壯有力的三角肌腱以槓桿力學原理來做為肩部活動的驅動來源,即可有效改善疼痛,加上特殊球頭設計,增加了關節之穩定性、強度和運動範圍,同時也減少及脫臼機率撞擊。
複雜性肩關節病變以傳統手術治療是無法完備達到良好的療效,反置式人工全肩關節顛覆傳統思維,藉由材料科學、結構設計,並運用了槓桿力學原理的改良,提供了更適切有效率的治療方式,讓我們面對複雜性關節病變時,有了新的治療選擇。
傳統人工肩關節
  • 傳統解剖型人工肩關節
  • 人工半肩關節
反置式人工全肩關節

醫療新知

複雜性肩關節病變治療新選擇
反置式人工全肩關節置換術
Reverse Total Shoulder Arthroplasty

佳里奇美 王覲文│醫療副院長

佳里奇美醫院 健檢門診的蛻變

佳里奇美 黃慧娟│護理部 專員
     柯俊宏│家庭醫學科 主任

我的小寶寶要不要打 Covid-19 疫苗?
如何決定打哪一種疫苗?

佳里奇美 陳昱瑾│兒科 主治醫師

從艱辛難熬慢慢找回享受幸福的生活
正念運用

佳里奇美 唐愉君│復健科 臨床心理師

淺談增生注射療法
Prolotherapy/Regenerative injection therapy

柳營奇美 陳柏偉│復健科 主治醫師

糖尿病神經病變 早期診斷新利器

柳營奇美 黃偉輔│內分泌新陳代謝科 主治醫師