牙醫部

衛教單張編號:A7730202
 
開咬病人之咬力訓練及唇舌訓練
By 牙醫部 | January, 2026

咬力訓練
  • 病人咬緊牙齒15秒,休息5秒,再咬緊15秒,休息5秒,重複做5分鐘。
  • 建議每隔1小時做5分鐘,次數越多越佳。
  • 其餘時間可咀嚼無糖口香糖。
  • 咀嚼食物時,不可以同時喝飲料或湯。
唇舌訓練
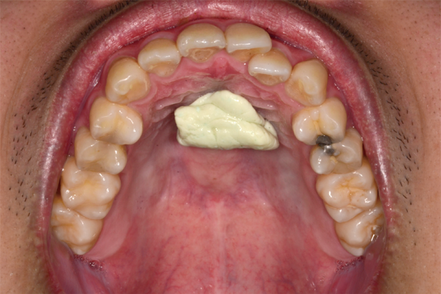
  • 用後牙咀嚼口香糖(建議無糖口香糖),在用舌頭將咀嚼過的口香糖滾動至舌尖處(圖一)。
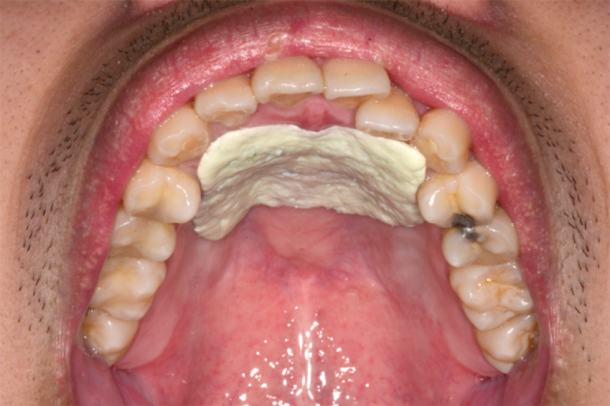
  • 利用舌頭往上舉的力量把口香糖推到上顎穹窿的位置(圖二),訓練咬合與吞嚥的動作,保持用舌頭讓口香糖壓在上顎穹窿處(圖三),讓口香糖完全的經過舌頭的壓力平鋪到上顎穹窿處(圖四)。
  • 此外,也可以讓病人將舌頭上舉至上顎穹窿處,使舌頭上與上顎穹窿相拍擊而發出“答.答”的聲響。
  • 再來就是訓練嘴唇,讓雙唇唇緊閉使得時會發出bop-bop的聲音,藉此讓病人訓練用鼻子呼吸。(圖五)

~諮詢電話~
│奇美醫院│電話:(06)281-2811轉56058
│柳營奇美│電話:(06)622-6999轉73158~9
│佳里奇美│電話:(06)726-3333轉33945~6
│奇美醫院│
電話:(06)281-2811轉56058
│柳營奇美│
電話:(06)622-6999轉73158~9
│佳里奇美│
電話:(06)726-3333轉33945~6