牙醫部

衛教單張編號:A7730019
 
全口植牙術後注意事項
By 牙醫部 | August, 2025

傷口照護
傷口止血
手術完成後,請勿用力漱口、吐口水或以舌頭碰觸傷口,並且避免激烈運動、游泳等活動。術後少量滲血為正常現象,不必過度擔心,請將口水和血水吞入,並搭配冰敷使用可幫助止血,不過若有持續性流血不止的情況,請盡快來電諮詢或回診處理。
腫脹、疼痛處理
手術後48小時內,建議多冰敷可降低不適感及初期腫脹;超過48小時後請改用溫熱敷可幫助消腫。有些術後幾天手術區的臉頰處可能會有局部瘀血(瘀青)的現象,此時也可藉由熱敷幫助瘀青退散。
傷口修復
術後兩週內是組織初步癒合的關鍵期,建議多休息、保持充足的睡眠,幫助傷口癒合;植牙手術傷口在此階段應小心避免刺激,並避免使用酒精及香菸,因裡面的化學物質皆會導致傷口發炎感染的機會增加,進而使傷口癒合不良,增加植牙失敗風險。
口腔清潔
手術區域應小心避免刺激,故進食後手術區無需使用牙刷清潔,清潔方式改以每次進食後口含漱口水1分鐘後,再「輕柔地」將其吐出。
按時服藥
植牙手術後,醫師會根據患者的不同情形開立抗生素及止痛藥,請務必按時服藥。
飲食衛教
手術後前6-8周是植體和骨頭生長關鍵時期,絕對要避免咬硬的食物,若對假牙施加不洽當的力量,都可能會造成植體周圍組織生長不良,進而增加植牙失敗的風險。
術後2週飲食
避免過熱之食物,需選擇柔軟、無需用力咀嚼的流質食物為主,並需補充大量水份與電解質,並可補充適量維他命C及鈣片,來幫助傷口修復。流質飲食為常溫下呈現液體類食物,如:各式湯品如魚湯、肉湯,果汁、牛奶、豆漿、米漿、冰淇淋、高蛋白飲品;也可選擇的無須咀嚼之軟質飲食:如優格、果凍、布丁、奶酪、豆花、嫩豆腐、蒸蛋。
術後2-6週飲食
可開始吃半流質食物;即固體食物剁碎、絞碎加入湯汁煮爛,及各式泥狀食物,如:菜泥、碎肉等。主食可選擇:各式稀飯、鹹粥、軟爛的麵條。
術後6週後飲
經醫師檢查確認後,便能進食軟質食物;食物質地柔軟,選擇以筷子就可夾斷,易於咀嚼且不含粗纖維之食物,都可選擇。
術後口腔清潔注意事項
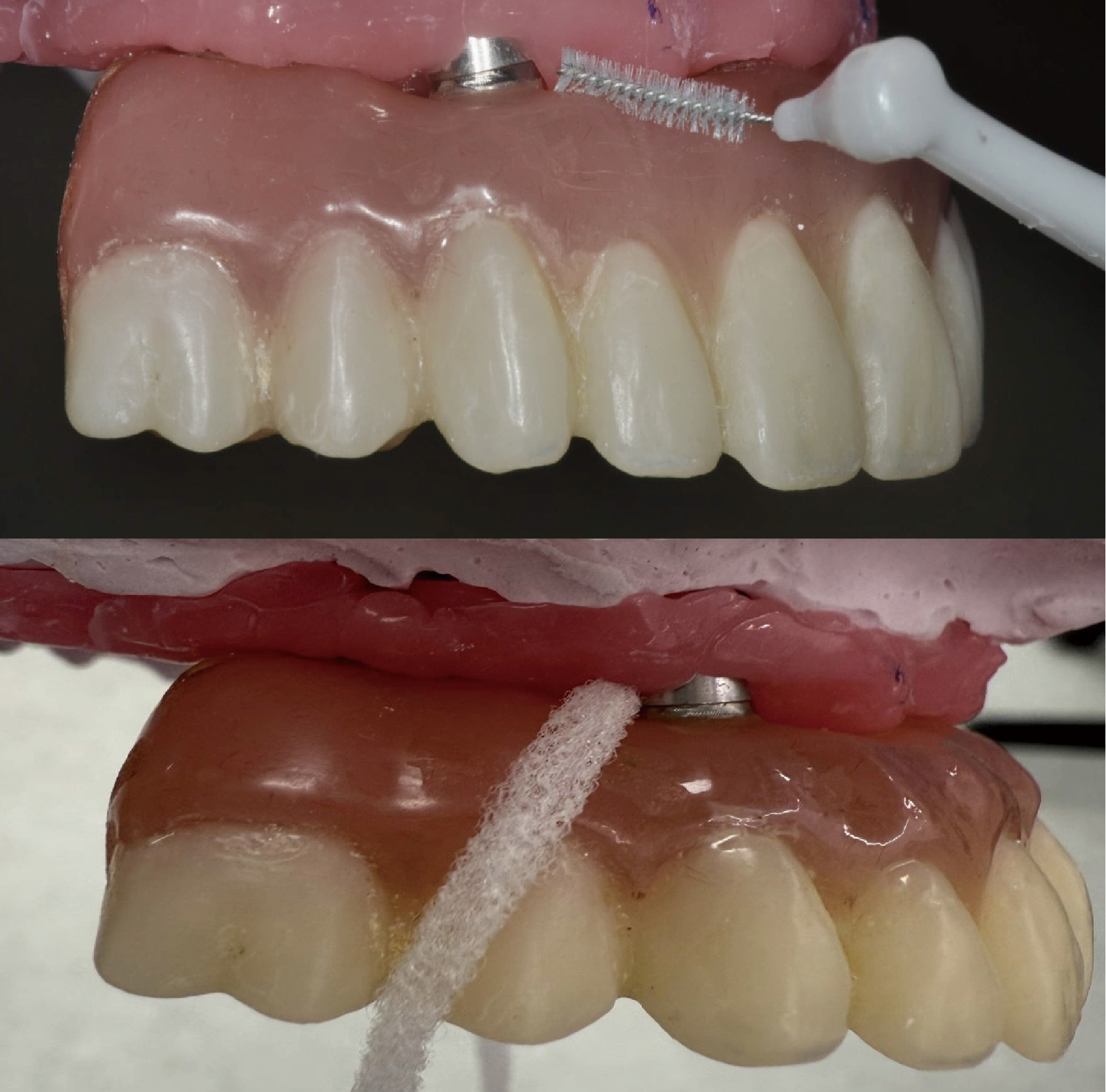
術後2週-6個月(臨時假牙階段)
依醫囑使用「軟毛牙刷、單束毛牙刷、牙間刷、牙線或沖牙機」等工具執行口腔清潔,特別是假牙與牙齦間的縫隙需特別注意。
術後6個月以後(正式假牙階段)
持續使用軟毛牙刷清潔假牙及牙齦、單束毛牙刷清潔舌側,或以超級牙線清潔假牙下方。並每半年回診或依醫囑回診。

~諮詢電話~
│奇美醫院│電話:(06)281-2811轉56058
│柳營奇美│電話:(06)622-6999轉73158
│佳里奇美│電話:(06)726-3333轉33945
│奇美醫院│
電話:(06)281-2811轉56058
│柳營奇美│
電話:(06)622-6999轉73158
│佳里奇美│
電話:(06)726-3333轉33945